Prabhleen CBCT Center
Advanced CBCT & Dental Imaging Services provide precise, high-resolution 3D scans for accurate diagnosis and treatment planning. Using modern technology, we ensure fast, reliable results with minimal radiation exposure. Our expert team focuses on patient comfort, delivering safe, efficient imaging solutions to support dentists in achieving better clinical outcomes.
Our services
Dental and Maxillofacial Diagnostic Center in Gwalior, Madhya Pradesh
About Us
Dr. Dilraj Singh (Oral Medicine & Radiology Specialist)
Dr. Dilraj Singh is a dedicated Oral Medicine and Radiology specialist currently serving as a Reader at Maharana Pratap College of Dentistry and Research Center, Gwalior. He completed his BDS from Jiwaji University, Gwalior, and his postgraduate studies from MPMSU, Jabalpur.
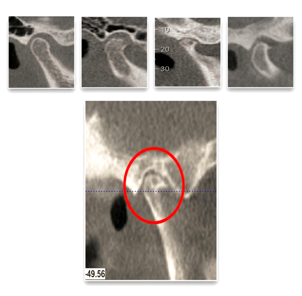
He is certified in Cone Beam Computed Tomography (CBCT) and has extensive experience in advanced radiological diagnosis. Dr. Singh is associated with several reputed centers across India as a consultant radiologist for CBCT reporting. His expertise includes implant planning, impacted teeth localization, oral and maxillofacial pathology interpretation, TMJ assessment, maxillary sinus evaluation, and airway analysis.
Along with clinical practice, Dr. Singh is actively involved in teaching, CBCT lectures, and research, with multiple publications in national and international journals. He is committed to accurate diagnosis, patient-centered care, and continuous professional development.
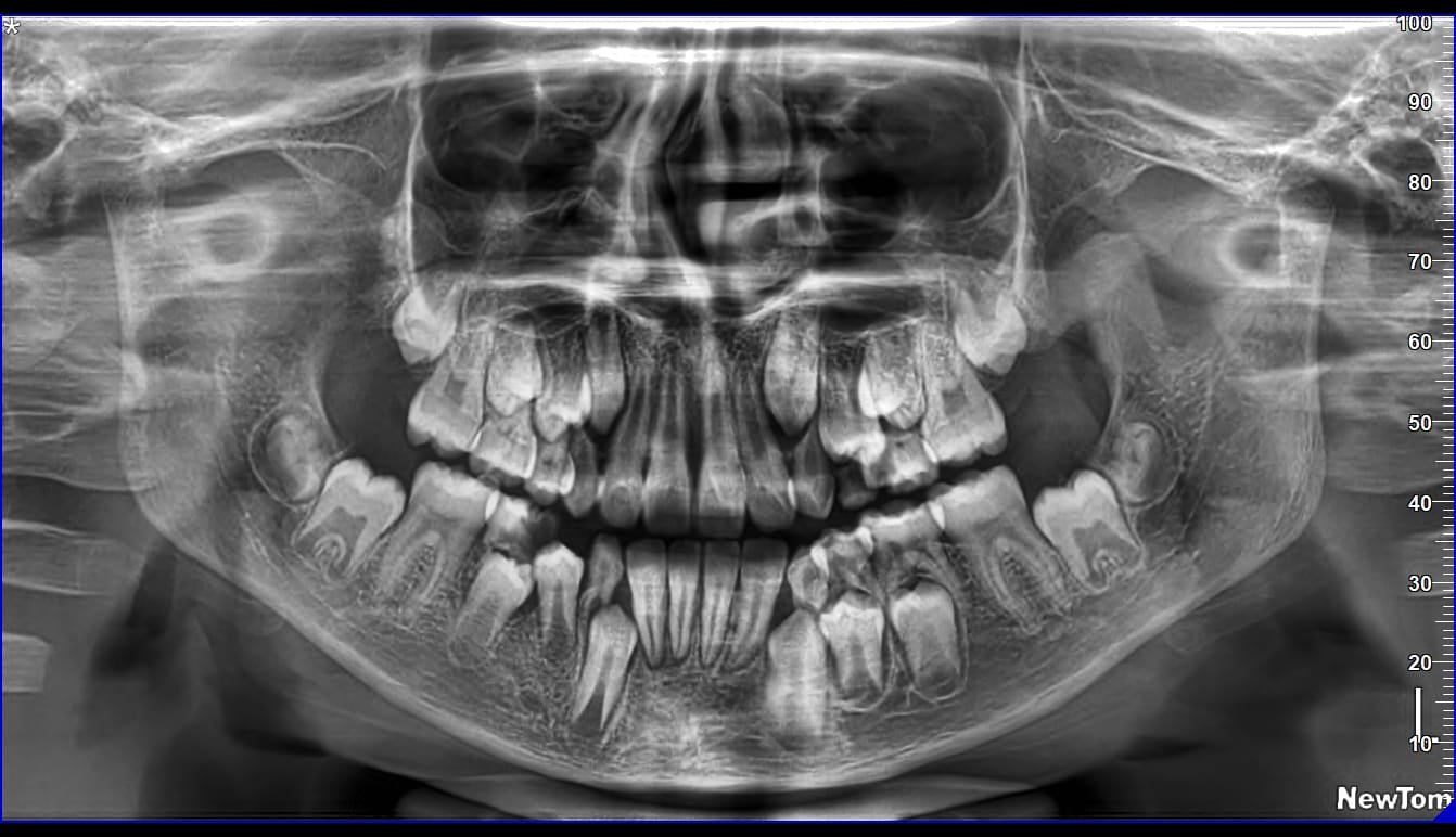
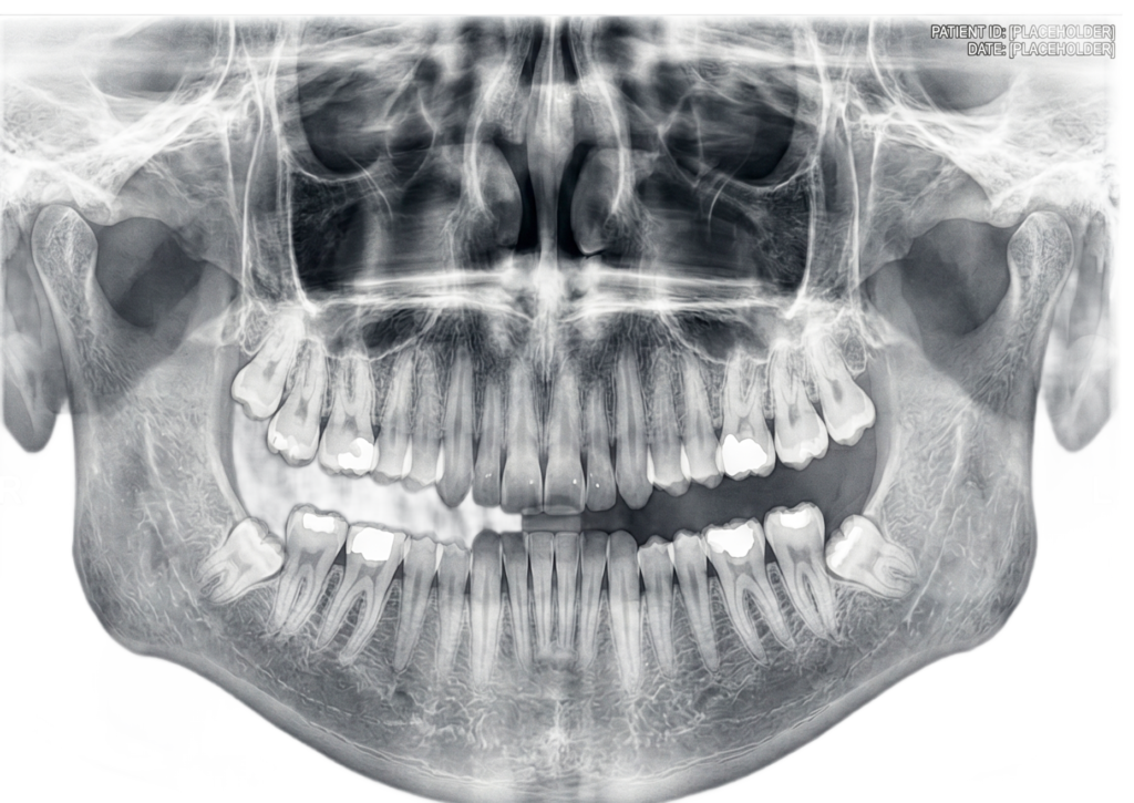
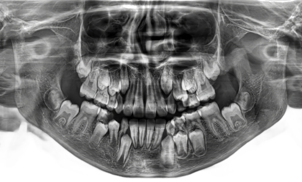
Diagnostic Services & Price List
-
OPG 600–800/-
-
Single tooth CBCT 1000/-
-
Single tooth (If impacted or partially impacted) 1500/-
-
Quadrant CBCT 1500/-
-
Single arch CBCT 1800/-
-
Full Mouth CBCT 3500/-
-
Bilateral TMJ (open and close mouth) – 3D Scan 3500/-
-
Unilateral TMJ (open and close mouth) 1800/-
-
Bilateral TMJ (open and close mouth) – 2D Radiograph 1000/-
-
CBCT Maxillary Sinuses 2000/-
What Our Clients Say







Latest Blogs
Book An Appointment
One or more fields have an error. Please check and try again.
- Please fill out this field.